🔷 Профессиональная дезинфекция от клопов в квартире в Рязани ✔ Цены и стоимость на дезинфекцию ✔ Гарантия на все виды услуг. 🔶 Без вреда для домочадцев
Калькулятор расчета стоимости:
Дезинфекция от клопов в таких крупных городах как Рязань, услуга очень популярная, ведь увидеть клопов в своём доме может каждый. Они появляются внезапно даже в самых чистых домах и квартирах. Это небольшие насекомые с плоским овальным телом. Взрослые особи клопов имеют бурую или чёрную окраску. Их размер зависит от возраста особи и времени, когда она последний раз ела. Он составляет от трёх до девяти миллиметров. После кормления тело заметно набухает, становится красным. Насекомое теряет способность быстро передвигаться.
- Места обитания насекомых
- Периоды активности
- Признаки появления клопов
- Чем опасны клопы
- Первая помощь при укусах
- Способы уничтожения клопов в домашних условиях
- Холодный туман
- Горячий туман
- Барьерная защита
- Что такое дезинфекция
- Подготовка квартиры к дезинфекции
- Что делать, если в квартире есть дети и животные
- Как формируются цены
- Что делать после дезинфекции
- Общие советы для профилактики
- Отзывы
Самка отличается большим размером, так как вынашивает яйца для дальнейшего размножения клопов в квартире. В течение жизни она способна отложить сотни яиц. Молодые и взрослые особи похожи. Единственное отличие – это светлый, почти прозрачный цвет. Заметить их сложнее. В комфортных условиях они вырастают в полноценных клопов за 1 месяц. За это время особь несколько раз сбрасывает шкуру, пока не образуется плотный хитиновый покров. Продолжительность жизни насекомого – 1 год. Если им приходится впадать в спячку, то этот срок увеличивается.

Кажется, клоп появляется из ниоткуда. Но это лишь на первый взгляд. Путей появления их в квартире множество:
- Соседние помещения. Если соседняя квартира заражена этими насекомыми, то в скором времени стоит ждать их появления. Жуки способны проползти через микроскопическую щель, о существовании которой вы даже не подозревали.
- Домашние животные. Коты, собаки, свободно бегающие по улице часто заходят в чужие дома, жилые или заброшенные. Если в помещениях живёт колония клопов, ждите гостей.
- Бытовая техника или мебель, побывавшая в употреблении. Приобретая по объявлениям товары для дома, вы рискуете заполучить и новых «жильцов». Клопы прячутся в складках ткани, мягком наполнителе, трещинах.
- Путешествия. Бюджетная гостиница, съёмная квартира часто оказывается недостаточно чистой. Отсутствие профилактической дезинсекции – благоприятная среда для размножения паразитов. Они без труда заползут в сумку или чемодан и прибудут на новое место жительства.
- Гости. Отправляясь в дальнюю дорогу, родственники и друзья берут много вещей. Это отличная возможность для клопов попутешествовать.
Появление насекомых в жилом помещении можно предотвратить, зная пути их возникновения. Но бдительность не панацея. Если жуки или их личинки обнаружены, необходимо как можно скорее провести дезинфекцию от клопов в квартире.
Места обитания насекомых
Проникает в дом клоп достаточно легко. В отличие от пчёл и муравьёв эти жуки не строят гнёзда. Они живут группами и оставляют после себя следы. Обнаружить их можно в матрасах, каркасах мебели.
Постепенно клопы могут распространиться по всем комнатам и в таком случае поможет лишь профессиональная дезинфекция. Если вы приобрели жильё, в котором до вас жили другие люди, ждите появления незваных гостей. При обнаружении следов присутствия паразитов в первую очередь проверьте следующие места:
- под обоями, плинтусами, настенными или потолочными плитами;
- постельное бельё, одежду, шкафы, ковры, ковровые покрытия, подушки;
- мягкую мебель, матрацы, кровати;
- деревянные предметы, картины, книги, потолочные карнизы;
- бытовую технику, розетки, переключатели света.

Все труднодоступные места должны быть тщательно обследованы, а при необходимости проведена дезинфекция квартиры от клопов. В запущенных ситуациях сразу обращайтесь к профессиональным службам.
Периоды активности
Чем чаще в квартире меняются жильцы, тем выше вероятность появления в ней жуков. В группу риска попадают гостиницы, общежития, пансионаты, дома престарелых, сдаваемое в аренду жильё.
Лето – благоприятное для клопов время года. Оптимальная температура воздуха для них +25°С. Зимой паразиты впадают в спячку. При первом же потеплении просыпаются и начинают активно размножаться. Погибает насекомое при температурах +50 и -18°С.
Если клоп живёт в отапливаемой комнате, то и в холодное время года не снижает своей активности. Днём жуки прячутся и всячески избегают контактов с людьми и животными. Ночью выходят из убежища на кормёжку. Излюбленные часы – с трёх ночи до семи утра.
Если для клопов в квартире складываются неблагоприятные условия, они легко покидают её. По стенам и вентиляционным каналам они передвигаются до тех пор, пока не найдут подходящего места. За один раз взрослые особи способны преодолеть до 1,3 метра. Если ваш сосед самостоятельно начал изгонять жуков из своего жилья, то к вам они доберутся менее чем за сутки. Проводить травлю нужно комплексно – во всех комнатах и помещениях здания.
Признаки появления клопов
Любые насекомые оставляют характерные следы. Обнаружить клопов в квартире можно по следующим признакам:
- укусы на теле членов семьи, на домашних питомцах;
- небольшие пятна крови на наволочках, простынях;
- своеобразный сладковатый запах в местах обитания колоний. Он похож на аромат малины или миндаля;
- экскременты клопов, напоминающие ржавчину. Эти маленькие комочки остаются на стенах, бельё – везде, где живут и ползают насекомые;
- скорлупа от яиц и сброшенная шкура также являются красноречивыми признаками присутствия жуков.
Важный момент: другие похожие насекомые не живут в домашней мебели. Если вы обнаружили в квартире маленьких гостей, начинайте готовиться к борьбе с клопами. При атаке паразитами нескольких квартир обращайтесь в службу дезинфекции.
Чем опасны клопы
Насекомые не так безвредны, как может показаться. Поэтому полное уничтожение клопов — задача номер один. Жуки переносят опасные заболевания: сыпной тиф, лихорадку, чуму, туляремию. Кроме того, сами укусы клопов болезненны и выглядят не эстетично. Поражённые места часто воспаляются, отекают. У пострадавших детей в редких случаях развивается железодефицитная анемия.
Клоп при укусе выделяет слюну, которая действует как обезболивающее. Именно поэтому человек продолжает спокойно спать, а насекомое сбегает. Зуд и дискомфорт появляются примерно через 15 минут. Человек беспокойно спит, а днём чувствует себя уставшим, раздражённым. Квартира, населённая клопами, превращается в камеру пыток.
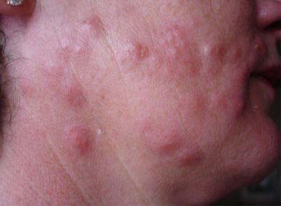
Следы от укусов клопов опознаются по специфическому внешнему виду. Это целая дорожка из пяти-шести маленьких красных пятен. Внешне поверхность кожи выглядит так, будто её разрисовали красной краской.
Нападению подвергаются в первую очередь открытые участки кожи: шея, лицо, руки. Если человек спит без одежды, то его спина вскоре покроется красными полосами и зигзагами. Выглядит это неопрятно и доставляет много мучений.
Проходят укусы за одну-две недели. Но это только в том случае, если вы провели дезинфекцию постельных клопов и уничтожили колонию вредителей. Если нет, то тело будет постоянно покрываться новыми пятнами.
Первая помощь при укусах
Прежде чем приступать к дезинфекции против клопов, окажите себе первую помощь, чтобы облегчить состояние. Если специальных препаратов в аптечке нет, подойдут и народные средства.
Обработка от клопов кожи
Вымойте с мылом повреждённые участки – так, чтобы образовалась густая пена. Не спешите её смывать, дайте полностью высохнуть. После этого зуд уменьшится. Эта простая процедура поможет предотвратить попадание инфекции в ранки.
Далее место, которое покусал клоп, смажьте одним из вариантов смеси:
- Смешайте соду с водой до получения густой пасты. Нанесите средство толстым слоем на больное место. Продержите не меньше часа. Когда паста полностью высохнет, смойте её тёплой водой.
- Намочите ватный диск настойкой зверобоя, гамамелиса, лимонным соком. Они обладают вяжущими свойствами, устраняют зуд, уменьшают покраснение, подсушивают. Повторяйте процедуру несколько раз в день.
- Натуральный гель с алоэ вера снимает зуд, обладает обеззараживающими, противогрибковыми свойствами. Он препятствует попаданию инфекции при расчёсывании.
- Снять отёк и убрать зуд помогут сырой картофель, лёд, листья подорожника или алоэ. Прикладывайте их к больным местам несколько раз в день.
Эти простые средства найдутся в аптечке у каждой хозяйки. Они эффективны при небольшом поражении кожи. В сложных случаях рекомендуется использовать готовые препараты, которые продаются в аптеках Рязани без рецепта:
- стероидная противовоспалительная мазь;
- каламиновый лосьон;
- антигистаминные таблетки.
Перед применением обязательно изучите инструкцию. Соблюдайте все предписания во избежание побочных эффектов.
В качестве обезболивающего подойдёт ибупрофен, аспирин, парацетамол. После оказания первой помощи обязательно отправляйтесь на консультацию к врачу. Особое опасение вызывают следующие ситуации:
- множественные укусы по всему телу;
- волдыри;
- признаки инфекции (выделения из ранок, повышенная чувствительность);
- ярко выраженная аллергическая реакция.
Укусы нельзя расчёсывать. В противном случае вы создаёте все условия для развития инфекции.
После решения проблем со здоровьем приступайте к дезинфекции постельных клопов. Существует два варианта решения проблемы – самостоятельно или с помощью специальных служб.
Способы уничтожения клопов в домашних условиях
Будьте готовы к тому, что процесс займёт много времени и положительный результат никто не гарантирует. Тем не менее дезинфекцию помещения от клопов проводят и народными способами:
- Термическая обработка. К резким перепадам температур жуки не в состоянии привыкнуть. Обработайте мебель, одежду, постельное бельё паром или кипятком. Либо вымораживайте помещения в условиях продолжительных низких температур 15–20 градусов холода. Взрослые особи и личинки погибнут.
- Пылесос. Пройдитесь насадкой по местам скопления насекомых. Это самый ненадёжный метод дезинфекции от клопов. Высока вероятность того, что на свободе останется много взрослых жуков.
- Полынь, пижма, ромашка, аир – сильный запах этих растений отпугивает клопов. Использовать их можно в качестве профилактики.
- Химические средства: скипидар, керосин, салициловая кислота, уксус. Обрабатывать ими надо все возможные места обитания насекомых.
Дезинфекция проводится с соблюдением следующих правил:
- используйте защитные перчатки, маску, очки, респиратор;
- из помещения должны выйти все, кто непосредственно не участвует в дезинфекции клопов;
- соблюдайте инструкцию при работе с химическими препаратами.
К работе нельзя допускать беременных и кормящих женщин, аллергиков, детей. Если сомневаетесь в собственных силах, прибегните к услугам специалистов.
Холодный туман
Дезинфекция от клопов данным способом предполагает подачу инсектицидного состава в газообразном состоянии. Химикат распыляется под высоким давлением. Размер активных частиц ничтожно мал. Благодаря этому вещество проникает на большую глубину, в скрытые участки, трещины. Способ рекомендует применять в пустых квартирах либо с минимальным количеством мебели при небольшой степени заражения клопами.
Горячий туман
Данная технология применяется при дезинфекции от клопов в Рязани в следующих случаях:
- большой численности насекомых;
- сплошном заражении клопами;
- наличии большого количества мебели.
В сравнении с предыдущим методом размер частиц в десять раз меньше. Благодаря этому вещество проникает внутрь деревянных элементов, уничтожая жуков. Температура пара выше 50 градусов. Травля постельных клопов становится ещё эффективнее. После процедуры не остаётся живых личинок и взрослых особей.
Обработка помещений от клопов осуществляется парогенератором, который вырабатывает пар. Он быстро и легко разносится по всей квартире, проникая в самые укромные уголки. При этом рабочая температура сохраняется.
Барьерная защита
После того, как в квартире была проведена качественная дезинфекция, необходимо позаботиться о защите извне. В Рязани уже много лет пользуется заслуженной популярностью метод барьерной защиты. Суть метода заключается в нанесении специального геля на все места, через которые насекомое может проникнуть в квартиру.
Для качественного результата обратитесь в службу дезинфекции клопов в Рязани. Опытные специалисты наносят вещество на розетки, вентиляционные шахты, двери, плинтуса, перекрывая все пути насекомым. В результате вы будете полностью защищены от вредоносных жуков. Даже если квартира соседей кишит клопами, у вас они не появятся.
Что такое дезинфекция
Полная дезинфекция помещения – уничтожение вредоносных организмов — насекомых или бактерий. Она включает меры по предотвращению их повторного появления. Ранее такие услуги оказывали исключительно государственные службы. Сегодня право на дезинфекцию домашних клопов получили и частные фирмы.
Наша компания работает на различных объектах. Мы работаем с препаратами, безопасными для здоровья человека и животного. Современные технологии позволяют нам истребить насекомых в самых труднодоступных местах – трещинах, вентиляционных шахтах, коммуникациях.
С нашей помощью дезинфекция от клопов в Рязани проходит за сутки. В этот же день вы сможете вернуться в чистую, безопасную квартиру.
Рязань – огромный город, в котором десятки фирм занимаются дезинфекцией домашних клопов . Выбирайте для себя самое лучшее. В Российской Федерации только 108 компаний удостоились права быть членами Национальной организации дезинфекционистов. В их числе наша компания.
Подготовка квартиры к дезинфекции
Борьба с клопами в Рязани или в любом другом городе начинается с тщательной подготовки. Это необходимо, чтобы обезопасить личные вещи от воздействия химических веществ. При обращении в профессиональную службу вы получаете подробную консультацию плюс индивидуальный план действий. Общие рекомендации таковы:
- Внимательно осмотрите квартиру. Изолируйте вещи, которые, вероятно, впитают вредное вещество. К ним относится постельное бельё, ковры, полотенца, одежда, подушки, любой текстиль. Эти предметы обработаются отдельно. Смело оставляйте любые предметы деревянной мебели.
- Сделайте влажную уборку.
- Уберите мелкие предметы – статуэтки, фоторамки, сувениры на полках, которые помешают рабочим двигать мебель.
- Спрячьте либо уберите из квартиры посуду и продукты питания. Это касается всего, что часто контактирует с кожей: расчёски, украшения для волос и т.п.
- Сдвиньте крупную мебель, на задней стенке которой часто обитают колонии клопов. Этим вы ускорите процесс работы.
Согласуйте время с бригадой и приготовьтесь покинуть дом на несколько часов.
Что делать, если в квартире есть дети и животные
Дезинфекция в доме, где живут дети, проводится по стандартным правилам. Все используемые препараты действуют только на насекомых. Для человека и домашних животных они безвредны. Но это правило действует только после завершения процесса.
Присутствовать в квартире при обработке нельзя. Отправляйтесь на дачу, в гости, на природу, а в это время ваш дом будет полностью избавлен от вездесущих клопов.
Подготовка перед дезинфекцией
- Унесите из квартиры аквариум. Если это невозможно, отключите на несколько часов подачу кислорода. После тщательного проветривания его можно будет включить.
- Есть вероятность, что комнатные растения погибнут в агрессивной среде. Вынесите их временно на улицу или увезите знакомым.
- Попугаев унесите из квартиры вместе с клеткой.
- Детские кроватки подвергаются дезинфекции. Исключение составляет детский матрас. Его необходимо выбросить.
Перед возвращением домой вымойте питомца специальным шампунем от паразитов.
Внимательно изучите эти рекомендации, и все члены вашей семьи будут в безопасности.
Как формируются цены
Для многих стоимость работ – решающий фактор при выборе компании. Изучив предложения по травле клопов в пределах Рязани, вы поймёте, что они отличаются незначительно. Выбор осуществляйте по качеству самих услуг.
Отчего зависят наши цены:
- метод уничтожения;
- габариты жилья.
Специалисты «Дезцентр-Русь» предварительно обследуют помещение, изучают планировку квартиры, осматривают мебель и выявляют скопления вредителей. Это упрощает последующую обработку.
Мы придерживаемся средних цен по городу. Действует система скидок. Окончательная стоимость будет озвучена после осмотра.
| Объем работ | Гелевая обработка* (тараканы, муравьи) | Аэрозольная дезинсекция (генератор тумана) |
|---|---|---|
| 1 комнатная квартира | 3000 руб. | от 2000 руб. |
| 2 комнатная квартира | 3500 руб. | от 2500 руб. |
| 3 комнатная квартира | 4000 руб. | от 3000 руб. |
| 4 комнатная квартира | 4500 руб. | от 3500 руб. |
| 5 комнатная квартира | Договорная | от 4000 руб. |
| МОП (кухня,ванна,коридор) | 2500 руб. | от 1500 руб. |
| Доп. спальное место | 400 руб. |
Что делать после дезинфекции
Когда клопы уничтожены, дайте препарату самостоятельно высохнуть. Минимальное время, которое потребуется для этого – два часа. Лучше оставить дом на более продолжительное время. Двери и окна должны быть закрыты.
В обязанности мастера входит консультация клиента по дальнейшим действиям:
- чтобы удалить незначительный запах, необходимо проветривание в течение 1-2 часов;
- все твёрдые поверхности тщательно промываются мыльным раствором;
- особое внимание уделяется местам приготовления и хранения продуктов питания;
- хорошо промывается санузел, ванна, раковина;
- в стиральной машине стирают весь домашний текстиль: одежду, постельное бельё, покрывала и т.д. Выставьте температуру больше 50 градусов;
- выметаются остатки мёртвых насекомых, экскременты, личинки. Выбросите их подальше от дома;
- ковры и матрацы нужно пропылесосить. При сильном загрязнении их лучше выбросить.
Спустя несколько дней сделайте повторную генеральную уборку. Если вы воспользовались нашими услугами, повторная обработка вам не понадобится. Второй раз к нам обращается лишь 5% заказчиков.
Общие советы для профилактики
С их помощью вы помешаете вредителям поселиться у вас в доме:
- Регулярная полноценная уборка: чистка мебели и ковров, мытьё мыльным раствором полов и плинтусов.
- Мониторинг стен на наличие щелей. При обнаружении заполняйте их строительной пеной.
- При приобретении новой мебели и бытовой техники проводите тщательный осмотр всех укромных мест, складок, щелей, соединений.
- Перед заселением в новую квартиру требуйте от застройщика устранения всех санитарно-технических изъянов.
- Комнаты в новом доме тщательно осматривайте. Если возникли подозрения, обязательно обработайте помещения от паразитов по всем правилам.
- По мере необходимости проводите ремонт в доме. Вовремя подклеивайте или меняйте обои, устраняйте щели в стенах, полах, под подоконниками, плинтусами.
- При уборке пылесосом проходите насадкой по всем труднодоступным местам, отодвигайте кровати, мягкую мебель.
- Меняйте постельное бельё не реже одного раза в две недели. Не храните его в корзине, а сразу стирайте при температуре 50 и выше градусов.
- Во время уборки осматривайте «любимые места» клопов.
- Избегайте места, где обитают насекомые. Если пришлось побывать в доме, который они населяют, дома снимите всю одежду и выстирайте. То же самое сделайте с сумкой и обувью.
- Никогда не подбирайте брошенную мебель, даже если она хорошо выглядит. Старайтесь не приобретать вещи, бывшие в употреблении. Если всё же пришлось это сделать, обязательно обработайте её инсектицидами.
- Замените старые розетки на новые, закрывающиеся.
- Чаще просматривайте книжные полки, убирайте с них пыль.
- Остановившись в гостинице, первым делом осмотрите помещение.
- Если вы въехали в старую квартиру, обязательно смените напольное покрытие.
Если вы обнаружили следы пребывания клопов у себя дома и сомневаетесь, они ли это, обратитесь в фирму по дезинфекции. Грамотные специалисты помогут распознать вредителей и помогут их уничтожить.
Отзывы
Мария
«Недавно впервые столкнулись с проблемой клопов. Долгое время квартира сдавалась. Когда решили пожить в ней сами, обнаружили неприятных соседей. Сразу задумались, сколько стоит дезинфекция квартиры от клопов. Это был важный момент, так как много денег должно было уйти на ремонт. Обратились в компанию «Дезцентр-русь». Понравилось вежливое, внимательное отношение. По телефону договорились о времени приезда мастера. Нам дали чёткие рекомендации, как подготовиться. Вынесли и выбросили всё, что могли. Это была практически вся мебель. Обработку провели достаточно быстро. Через пару часов даже запаха не осталось. Все щели замазали гелем на случай, чтобы соседские клопы не прошли. Конечная цена приятно удивила. Работой остались полностью довольны.»
Анна
«Травили клопов полгода назад. Даже не верилось, что с одного раза всё получится. Завелись вредители из-за неблагополучных соседей. Цель была не только их вывести, но и сделать так, чтобы забыть о них навсегда. Компания «Дезцентр-русь» прекрасно справилась с этим. Ждать не пришлось. В день обращения приехали и всё сделали. Цены для нас не имели большого значения, но скажу, что они здесь далеко не самые высокие. Огромное спасибо за работу! Повторно обращаться не пришлось.»
Жанна
«Сын проснулся с ужасными укусами от клопов по всей спине. Провели расследование и обнаружили следы присутствия клопов. Травить самостоятельно не хотели, по рекомендации обратились в фирму «Дезцентр-русь». Ребята сделали всё в лучшем виде. Нашли все любимые места клопов и помогли выяснить, откуда они пришли. Результат очень порадовал. Хватило одного раза, чтобы истребить всех насекомых. Остались довольны и ценами. Если вдруг когда-нибудь придётся травить насекомых, обязательно обратимся сюда!»
Антон
«Обращался в «Дезцентр-русь» дважды. В первый раз это была квартира родителей. Потом проводили дезинфекцию постельных клопов в дачном домике. Оба раза ребята справились на «отлично». Приехали быстро, сделали всё очень качественно. Результатом остался доволен. Очень советую эту фирму!»













